Cuidado Dental
¿Cómo elegir correctamente un cepillo de dientes? 1. Tipo de cerdas: ¿Duras, medianas o suaves? ✔ Suaves: Recomendadas para la mayoría de las personas, ya que limpian sin dañar el esmalte ni las encías.✔ Medianas: Útiles para quienes buscan una limpieza más profunda, pero pueden ser abrasivas si se usa demasiada presión.✔ Duras: No […]
Implantes All-on-Six en Valdivia: sonrisa fija con solo 6 implantes
¿Has perdido varios dientes o usas prótesis removibles que te incomodan? El tratamiento All-on-Six es una solución moderna que permite recuperar toda tu sonrisa con solo seis implantes dentales por arcada. En Clínica Ferraris, te ayudamos a volver a sonreír con seguridad y confort gracias a esta técnica de rehabilitación fija. ¿Qué es el tratamiento […]
Ortodoncia en Valdivia: más que estética, mejora tu salud bucal
La ortodoncia se diversificó etariamente, pasando no sólo por adolescentes, sino también adultos buscando mejorar su sonrisa y su salud dental a través de tratamientos modernos, cómodos y altamente eficaces. ¿Qué es la ortodoncia? La ortodoncia es una especialidad odontológica que se encarga de diagnosticar, prevenir y corregir las alteraciones en la posición de los […]
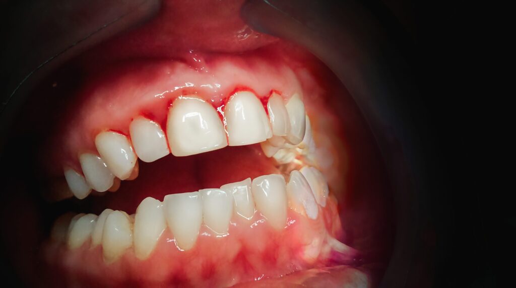
¿Encías que sangran? Alerta de salud: cómo la boca se conecta con todo tu cuerpo
La salud bucal presenta un unque parezca algo menor, este síntoma puede estar señalando problemas más graves, no solo en tu boca, sino también en el resto de tu cuerpo. En Clínica Ferraris, te ayudamos a detectar y tratar estas señales de alerta a tiempo. ¿Qué causa el sangrado de encías? Entre las principales causas […]
La Importancia del Diagnóstico Dental Temprano
Enfermedad Periodontal y Riesgo de Enfermedades Cardiovasculares ¿Por qué es importante realizarse controles dentales periódicos? La enfermedad periodontal suele avanzar de forma silenciosa. Muchas personas no presentan dolor ni síntomas evidentes hasta que ya hay daño estructural. Sin embargo, el impacto va más allá de la boca, según un informe recopilado por American Heart Association (1), describe que […]